405-722-7071

BEFORE & AFTER
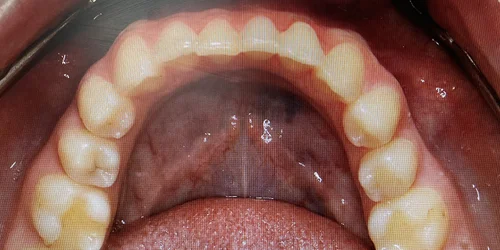
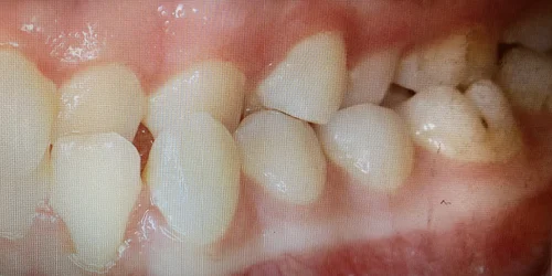
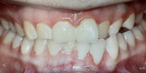
Smile Results You Can See and Feel
Browse our Smile Gallery to see real before-and-after results from patients who trusted Oklahoma Implant & Sedation Dentistry with their care. These transformations highlight the life-changing impact of expert dentistry and personalized treatment—designed to restore confidence, health, and natural-looking smiles.
SEE TRANSFORMATIONS
SOLVE DENTAL PROBLEMS
The quickest and most reliable way to leave dental problems behind - for good.
REGAIN CONFIDENCE
Get more than just a beautiful new smile—gain a renewed sense of self-assurance.
TALK MORE, SMILE MORE
Say goodbye to hiding your mouth or feeling self-conscious about your teeth.
IMPROVE YOUR HEALTH
Enjoy the comfort and confidence to fully embrace the moments that matter most.

No More Dental Pain
Reclaim Your Smile. Restore Your Confidence.
If you're ready to enjoy your favorite foods again, live free from dental pain, improve your overall health, or simply feel confident in your smile, Oklahoma Implant & Sedation Dentistry is here to help. With compassionate care and advanced solutions, we’ll guide you toward lasting results that enhance both your well-being and self-image.
Oklahoma Implant & Sedation Dentistry
Smile Gallery
Find out if you qualify for Oklahoma Implant & Sedation Dentistry in less than 2 min.
DO YOU QUALIFY?

Why Choose Us
At Oklahoma Implant & Sedation Dentistry, we do more than restore smiles — we help renew the confidence and positivity of the people behind them.
Meet Our Doctor

Real Reviews
Hear directly from real Oklahoma Implant & Sedation Dentistry patients—watch and read about their experiences and what you can expect from this life-changing procedure.
Read Reviews

Procedure Cost
Take advantage of our special pricing on single or double zirconia arches—affordable, high-quality dental care designed to help you save.
GET OFFER NOW

Smile Gallery
Explore before-and-after photos of Oklahoma Implant & Sedation Dentistry patients and witness the amazing transformations made possible by this groundbreaking implant procedure.
SEE TRANSFORMATIONS
